HOME >> 主な症例 >> 前歯インプラント治療の症例
特殊義歯 主な症例
- 症例3前歯インプラント治療の症例
外傷により左上前歯を歯牙複雑破折し、他院にて応急処置をしたとのこと




歯肉陥凹があり自然な歯肉豊隆回復のため、歯肉の厚み改善処置をした。
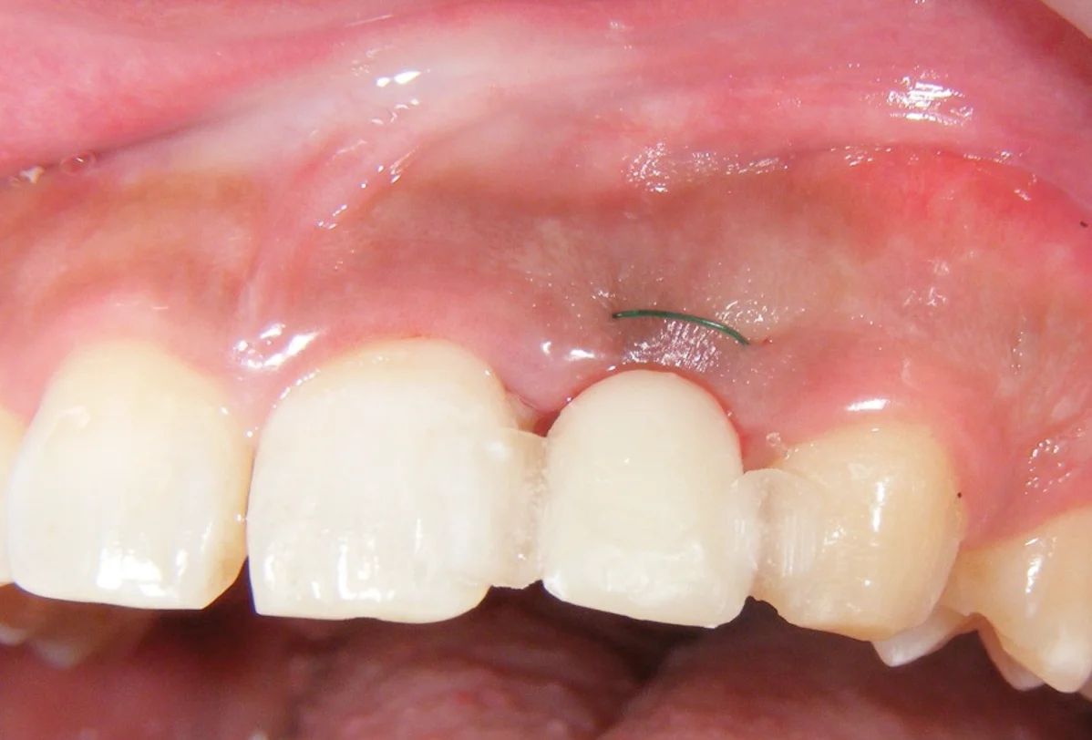
インプラントの仮歯を入れた状態

最終のインプラント差し歯を装着


埼玉県 川越市 歯科 歯医者 インプラント 一般歯科 小児歯科 矯正歯科
インプラント治療・一般歯科・矯正等の診療に関するご予約・お問い合わせはこちらからお願いします。 TEL:048-816-5521 FAX:048-816-5527 川越市・上尾市にお住まいの方もお気軽にご相談ください。
きのした歯科クリニック
埼玉県比企郡川島町上伊草1175-1
ベイシアフードセンター川島インター店内
TEL:049-297-5169
HOME >> 主な症例 >> 前歯インプラント治療の症例
外傷により左上前歯を歯牙複雑破折し、他院にて応急処置をしたとのこと
歯肉陥凹があり自然な歯肉豊隆回復のため、歯肉の厚み改善処置をした。
インプラントの仮歯を入れた状態
Copyright 2008 きのした歯科クリニック インプラント・義歯オフィス All Right Reserved.